Kao i ljudi psi takođe mogu da imaju problem sa skeletom da li u svojoj ranoj ili kasnoj dobi života. Kod mladih pasa problem nastaje tokom razvoja sa displazijom laktova i kukova, dok kod starijih problem često nastaje sa okoštavanjem kičme, i različitim stepenom artritisa, koji su često posledica displazije. Kod malih rasa takođe često imamo problema sa lukascijom patele. Inače, svako štene se rađa sa zdravim zglobovima, odnosno sa zdravim kukovima i laktovima. Ukoliko postoji genetska predispozicija i uz delovanja paragenetskih faktora već u ranom periodu se može javiti displazija. U veterinarskoj ordinaciji Milenium vet iz Novog Sad imali su slučajeve da dijagostifikuju displaziju štencima u starosti od 4-5 meseci. U starijem dobu različite traume povrede mogu dovesti do displazije takodje.
-Displazija kukova i laktova je genetski predisponirana nepravilnost u građi i razvoju kukova odnosno laktova. Najčešće je nasledna bolest kod pasa, ali takođe i neki drugi faktori mogu dovesti do pojave displazije kao što su neizbalansirana ishrana, prekomerna težina, klizav pod… Displazija se javlja u podjednakom procentu kako kod čistokrvnih rasa tako i kod mešanaca – objašnjava za naš portal dr vet.med. Simeun Panić, osnivač novosadske ambulante Milenium Vet, Suboticka 55a.
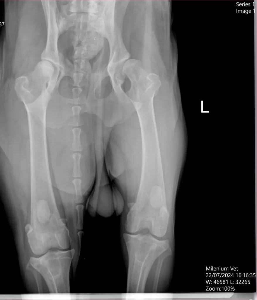
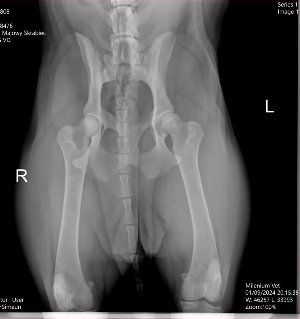
Prema njegovim rečima, nepravilan razvoj kuka najčešće se pojavljuje obostrano, a takvi kukovi za posledicu dovode do artritisa različitog stepena. Psi koji imaju displaziju kukova i laktova se isključuju iz daljeg priploda i uzgoja. On ističe da se u njihovoj ambulanti rade snimanje i ocenu kukova i laktova sa izdavanjem FCI sertifikata.


Upitan na koji način se displazija pasa dijagnostikuje, dr Panić naglašava da se dijagnostika displazije kukova i laktova obavlja kliničkim pregledom, ali pošto se ona smatra i skrivenom manom, a da bi se donela konačnu dijagnostiku displazije svakako je neophodno uraditi ortopedski pregled i RTG dijagnostika kao jedan od najpouzdanijih metoda u donošenju konačne dijagnoze. Znači za konačnu dijagnostiku bazira se na kliničkoj slici psa, ortopedskom pregledu i radiološkoj dijagnostici. Kada je reč o rasama pasa, dr Panić naglašava da se displazija može javiti kod svih rasa pasa, ali najčešće se manifestuje kod velikih i krupnih rasa poput nemačke doge, labradora, nemačkih ovčara, bernadnica, rotvajlera. Faktori koji dovode do displazije pored genetiku su i prekomerni rast, prekomerna težina, neizbalansirana ishrana, kao i prekomerno vežbanje, a koji mogu povećati genetsku predispoziciju.
-Kao što smo već rekli displazija kukova i laktova često može da bude skrivena mana. Može se desiti da u nekom periodu vlasnici ne mogu da primete nikakve simptome kod svog psa. Međutim, ono što vlasnici primete jeste šepanje na nogu, zatim pas nema volju za dužim igranjem i trčanjem, više vremena provodi ležeći ili sedeći nego u kretanju. Dolazi i do gubitka mišićne mase, a javlja se i jak bol prilikom kretanja. To su, dakle neki od najčešćih problema koji nam vlasnici saopšte u toku razogovra i uzimanja anamneze.
Zato dr Panić naglašava da je veoma bitno da se vlasnik, ukoliko primeti neke od gore navedenih simptoma što pre javi svom veterinaru. Veterinar će na osnovu dijagnostike rtg snimka, proceniti o kom stepenu displazije se radi, da li je to neki blaži oblik ili teži stepen displazije. Shodno nalazu i dijagnostici veterinar će dati preporuku o daljem toku lečenja. Kod blažih oblika se često sprovodi konzervativno lečenje (medikamentima), dok je kod ozbiljnijih displazija potrebno nekada pristupiti I hirurškom zahvatu.
Inače, kako saznajemo ne postoji neki šablon u preventivi za koji se sigurno može reći da neće doći do displazije ukoliko se vlasnici i drže svih preporučenih saveta od strane veterinara. Doktor Panić smatra da je u tom slučaju najbitnije da kada vlasnici uzimaju štene da to bude od proverenih odgajivača, da roditelji šteneta imaju uredne snimke laktova I kukova . Takođe je bitno da štene tokom razvoja ne bude gojazno, kao da ishrana bude izbalansirana. Osim toga važno je da podovi ne smeju da budu previše klizavi, a posebno u prostorijama gde borave štenci.
-Od suplemenata kod štenaca je najbitnije u preventivi koristiti preparate koji u sebi sadrze hondroitin sulfat i glukozamin. To je najveća “podrška” za pravilan razvoj hrskavice i zglobova. Takođe je bitno da štene uzima kvalitetne granule koje su dobro izbalansirane – navodi sagovornik.
Upozorava i da kao svaka bolest koštano zglobnog sistema i ova može ostaviti ozbiljne posledice na psa. Tu pre svega misli na kvalitet života takvog psa. Ako govorimo o blažem stepenu displazije, uz određene suplemente i analgetike pas sa blažom displazijom moze imati dobar i kvalitetan život. Kod pasa sa težim oblikom displazije kvalitet života može biti izuzetno narušen, ako se vlasnik ne javi veterinaru da se preduzmu određene mere lečenja da li konzervativno ili hirurško lečenje. Psi sa težim oblikom displazije trpe velike bolove tokom života.